Dental Implants Coventry | Permanent Tooth Replacement – Dental Perfection
Welcome to Dental Perfection – your trusted provider of dental implants in Coventry. Whether you’re missing one tooth or several, we offer permanent, natural-looking tooth replacement solutions to restore your smile and confidence.
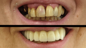
What Are Dental Implants?
Dental implants are titanium posts that are surgically placed into your jawbone to act as artificial tooth roots. They support crowns, bridges, or dentures and offer a stable, long-lasting solution for missing teeth.
Benefits of dental implants:
-
Look and feel like natural teeth
-
Prevent bone loss and facial sagging
-
Allow you to eat, speak, and smile with confidence
-
Last for decades with proper care

Why Choose Dental Implants at Dental Perfection Coventry?
Our experienced team offers personalised care and uses the latest digital imaging and implant technology to ensure successful, pain-free outcomes. We’re committed to providing affordable, high-quality dental implants in Coventry.
Our Dental Implant Process
-
Consultation: We assess your oral health and suitability for implants
-
Implant Placement: Titanium posts are inserted under local anaesthetic
-
Healing Period: The implant fuses with the bone (osseointegration)
-
Restoration: A custom crown or bridge is fitted for a perfect finish
Am I Suitable for Dental Implants?
If you’re healthy and have enough bone in your jaw, you’re likely a candidate. Even if you’ve worn dentures for years, we offer bone grafting and advanced techniques to help more patients qualify.

Affordable Dental Implants in Coventry
We believe everyone deserves a complete smile. That’s why we offer competitive pricing and 0% interest finance plans to make your dental implants more affordable.

Visit Our Dental Implant Clinic in Coventry
Located conveniently in Coventry, Dental Perfection is welcoming new patients for dental implants. Our state-of-the-art clinic ensures a comfortable, relaxing environment from consultation to completion.
Address: Dental Perfection, 7 Grosvenor House, Grosvenor Road, Coventry, CV1 3FE
Phone: 02476 220 420
Email: reception@dentalperfection.uk
Other Services You May Need
Frequently Asked Questions
Are dental implants painful?
Most patients report only minor discomfort, similar to a tooth extraction. We use local anaesthesia and offer sedation for anxious patients.
How long do dental implants last?
With good oral hygiene and regular check-ups, implants can last 15+ years – often for life.
Is there a payment plan available?
Yes. We offer 0% finance on all dental implant treatments. Speak to our team to learn more.
Your Local Coventry Implant Dentist
We proudly serve patients from across Coventry, including Earlsdon, Cheylesmore, Tile Hill, and surrounding areas. Our practice is easy to access with parking and public transport links.