Regain Your Confidence with a New Smile
£750 OFF Dental Implants + FREE Consultation
Limited to the first 7 patients!
Looking for affordable, high-quality dental implants in Coventry or Kettering? At Dental Perfection, we offer a long-lasting, natural-looking solution to missing teeth — now with £750 OFF and a free consultation. But hurry, this offer is limited to the first 7 new patients only!
Why Choose Dental Implants?
Dental implants are the most advanced solution to missing teeth — whether you’ve lost one tooth or several. Unlike dentures, implants look, feel, and function just like real teeth.
Benefits of dental implants:
-
Permanently replace missing teeth
-
Prevent bone loss and support jaw health
-
Restore your smile and chewing ability
-
Boost self-confidence


Dental Implant Experts in Coventry & Kettering
With clinics in both Coventry and Kettering, Dental Perfection is trusted by thousands of patients across the Midlands for professional, pain-free dental care. Our experienced team uses the latest technology to plan and place your implants with precision and care.
Special Offer – Limited Time Only
We’re offering £750 OFF dental implant treatment plus a completely free, no-obligation consultation for new patients. But this is strictly limited to the first 7 people who register.
What’s included:
-
£750 discount on your dental implant treatment
-
Full oral health consultation with an experienced implant dentist
-
Personalised treatment plan and transparent pricing

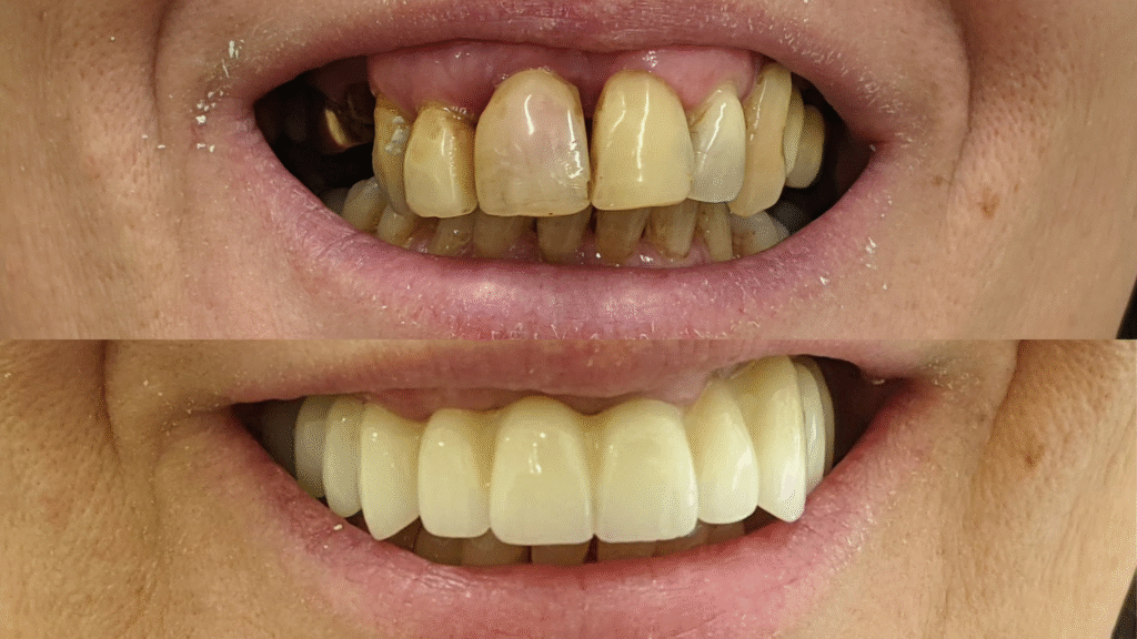
Real Patient Results!
Half way there:
Had my first session for implants with dental perfection yesterday. Arrived home with expectations of a sore /painful mouth for about a week. To my surprise I awoke this morning with no pain and only a slight soreness. Got up did my getting up routine and then did laundry and went off to shopping. Really delighted with the care and attention also skill and knowledge of the team.
This was just the first step but feel confident that the rest of the treatment will be just as good.
No hesitation in awarding full marks and a recommendation to Dental perfection for anyone thinking of taking this step.
GerryPart Two.
Now at the end of my second half of my inserts and very pleased to report that agin all went well. No drama no fuss just a first class job. Thanks Dental perfection your 5 star award is well deserved
Gerry
Very good people thay look after you so pleased with my new toothSimon Ward
Johnny and his team were very professional and friendly! I suffer with anxiety and fear when visiting the dentist however Jonny made me feel at ease and explained everything in great detail. There were no hidden costs and I left the practice with a smile on my face. Fast forward a couple of days and I am pain freeCham Bansi
I would like to say, the service that I received from Johnny, himself was outstanding from the moments i walked in he made me feel very comfortable considering i was extremely nervous and hi so much horrible pain. I called around for 3 days trying to get someone to see me for an emergency extraction an no one would help me. Johnny and his team opened there doors to me after 8pm when they were basically closing. I feel so thankful for Dental Perfection and i would highly recommend them to anyoneScott Warner
Book Your Free Consultation





